最終更新日:2026年3月23日
マウスピース矯正って本当に効果あるの?半年間の変化を写真で紹介

透明で目立たないマウスピース矯正。
気になっているけれど、「本当に効果があるの?」「ちゃんと歯が動くの?」と不安に思っていませんか。
本記事では、マウスピース矯正で効果が出る仕組みや、開始から半年で現れる変化の目安をわかりやすく解説。
さらに、失敗を招く「5つのNG行動」もお伝えするので、後悔しない矯正選びのためにぜひ最後までご覧ください。
「矯正費用ってどれくらいかかるの?」という方は、Oh my teethの公式LINEで料金シミュレーションを試してみてください!スマホから30秒でマウスピース矯正の費用目安がわかります。

歯科矯正ブログ編集チーム
Oh my teeth
マウスピース矯正「Oh my teeth」ホームホワイトニング「Oh my teeth Whitening」を提供するOh my teethのコンテンツチームです。Oh my teeth導入クリニックのドクターと連携し、歯科矯正やホワイトニング、自社ブランドに関する確かな情報を発信しています。
マウスピース矯正は本当に効果がある?

マウスピース矯正は、すでに多くの方が受けている治療法であり、正しく使用すればしっかりと効果が期待できます。
実際、世界的なマウスピースメーカーであるインビザラインは、世界で1,500万人以上※1の治療実績を持ち、国内マウスピース矯正ブランド製造数No.1の Oh my teethも日本国内で数万人の方にご利用いただいています※2。
まずは、マウスピース矯正の仕組みを確認しておきましょう。
※1 2023年3月時点。
※2 2025年1月GMOリサーチ&AI社デスクリサーチ調べ(対象:2024.1〜12,国内歯列矯正用マウスピースブランド)。
※2 2025年1月GMOリサーチ&AI社デスクリサーチ調べ(対象:2024.1〜12,国内歯列矯正用マウスピースブランド)。
マウスピース矯正で歯が動く仕組み

マウスピース矯正は、現在の歯並びから少しだけ理想の位置にずらして作られたマウスピースを装着し、そのズレを戻そうとする持続的な力を利用して歯を動かします。

通常、1枚のマウスピースで約0.25mmという微小な距離を移動させます。これを1〜2週間ごとに新しいマウスピースへ交換していくことで、段階的かつ計画的に歯列を整えていく仕組みです。
一度に大きな力をかけないため、歯に大きな負担をかけず、痛みが少ない傾向にあります。
ワイヤー矯正との効果の違い
ワイヤー矯正とマウスピース矯正、どちらを選んでも適切な診断に基づく治療であれば、矯正効果自体に大きな優劣はありません。
ただし、「歯の動かし方」や「得意な動き」には違いがあります。
ワイヤー矯正は、装置が固定されているため24時間持続的に強い力がかかり続けます。そのため、歯の移動量が大きいケースや複雑な動きが必要な症例でも、ダイナミックに歯を動かせるのが特徴です。
一方、マウスピース矯正は、段階的に形を変えたマウスピースを交換しながら、弱い力で少しずつ歯を動かしていきます。
効果を実感できるのはいつから?マウスピース矯正の症例を時系列で紹介
マウスピース矯正を始めたら、「いつから歯並びが変わるの?」と気になりますよね。
ここではマウスピース矯正 Oh my teethの症例について、治療開始から終了までの歯並びの変化を時系列でわかりやすく解説します。
矯正開始前(2023/05/11)
矯正開始~1ヶ月
治療を始めてから1ヶ月間は、歯を動かすための「準備期」といえます。
この時期は、見た目の変化はあまり感じられないでしょう。
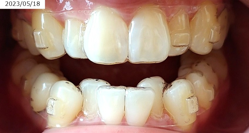
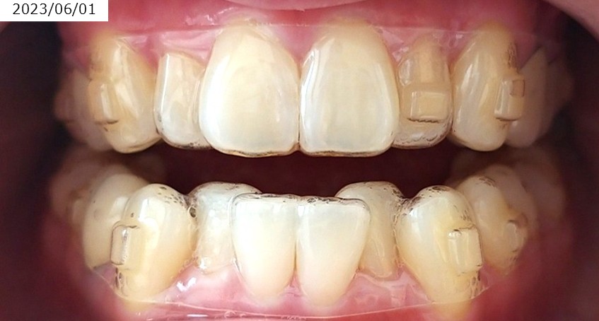
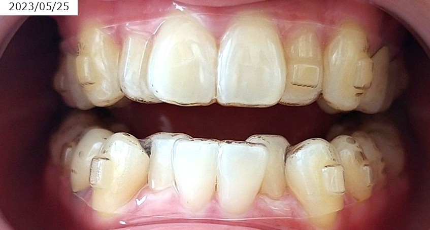
1週間経過(2023/05/18)
2週間経過(2023/05/25)
3週間経過(2023/06/01)
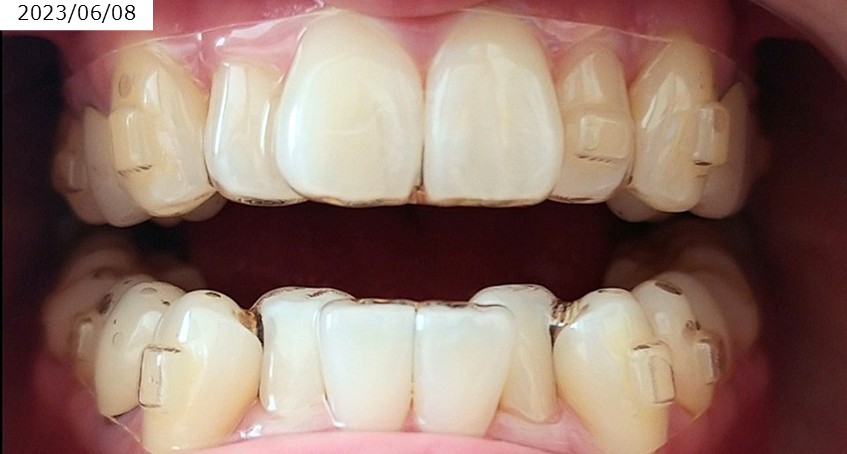
4週間経過(2023/06/08)
目に見えない歯の根っこの部分では、確実に歯を動かす準備が始まっています。
最初は少し痛みを感じるかもしれませんが、徐々に慣れてくる人がほとんどです。まずは焦らずに、1日20時間以上マウスピースをつける習慣をしっかり身につけましょう。
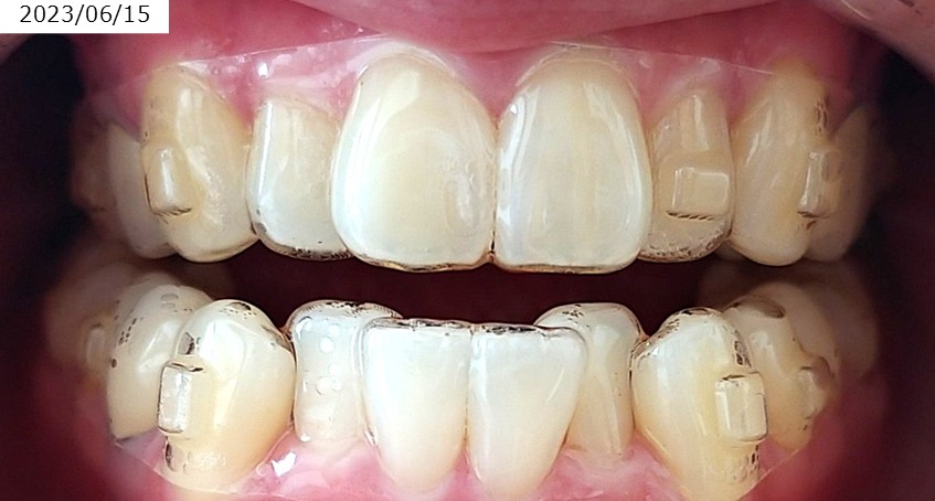
1~3ヶ月
治療開始から1~3ヶ月経つと、「あれ?少し歯並びが変わったかも?」と自分でも気づき始める時期です。
1カ月経過(2023/06/15)
2ヶ月経過(2023/07/12)
3ヶ月経過(2023/08/15)
下の歯のガタガタが動き出し、徐々に歯列が整ってきた様子がわかります。この時期には、うれしい変化をすこしずつ感じられるでしょう。
毎日しっかりマウスピースをつけて、チューイー(歯とマウスピースを密着させるためのアイテム)をしっかり噛んでいれば、歯が計画通りに動いていくはずです。
3ヶ月~半年
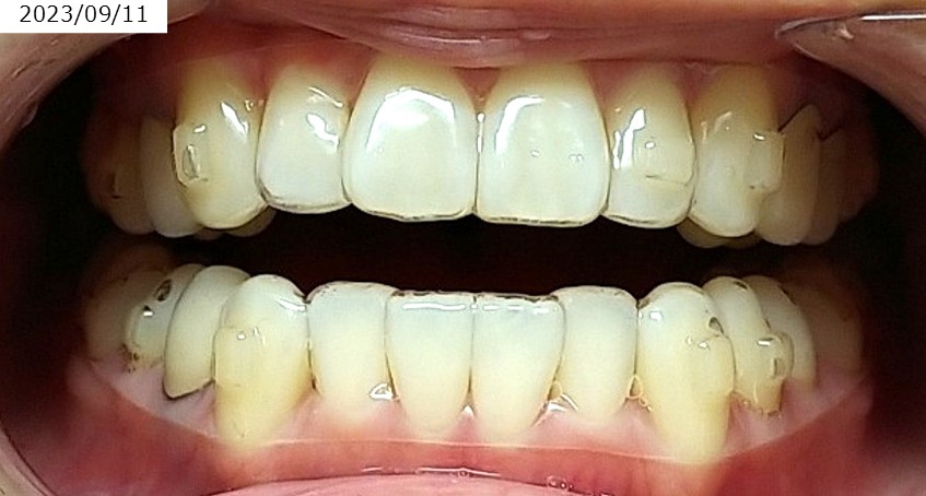
3ヶ月から半年が経つ頃には、自分だけでなく周りの人からも「歯並びきれいになった?」と言われることがあるかもしれません。
4ヶ月経過(2023/09/11)
5ヶ月経過(2023/10/15)
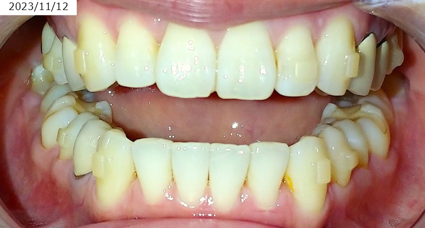
6ヶ月経過(2023/11/21)
ガタガタだった歯並びが整い、上の2番目前歯も全体のアーチがきれいなU字型に揃っています。
矯正終了(ビフォーアフター)

- 総額:33万円 (税込)
- 期間:6ヶ月
- 備考:非抜歯/部分矯正/研磨処置込
※保険適用外の自由診療です。効果や感じ方には個人差があります。マウスピース矯正(Oh my teeth含む)の主なリスク:虫歯・歯周病・ブラックトライアングル・歯根吸収・歯肉退縮・1日20時間以上のマウスピース装着が必須・マウスピースにより痛みを感じる可能性・治療中に一時的にかみ合わせに不具合をきたす可能性・治療期間と同等の期間、1日20時間リテーナーを装着、リテーナー期間以降は就寝時の装着を推奨。
この症例にように、前歯を中心とした部分矯正なら、半年程度で理想の歯並びに近づく人は多いです。
あなたの歯並びも、半年後には自信を持って笑える口元に変わっているかもしれません。
Oh my teethでは、マウスピース矯正の初回診断を無料でおこなっています。

まずは一度、あなたの歯がどう変わるか確認してみませんか?
失敗回避!マウスピース矯正で「効果が出ない」5つの原因

せっかくマウスピース矯正を始めたのに、「全然歯が動かない…」と後悔するのは避けたいですよね。
実は、効果が出ない原因のほとんどは「装着ルールを守れていない」ことにあります。
ここでは、効果が半減してしまう5つのNG行動を具体的に解説します。
①装着時間(1日20時間以上)を守れていない

マウスピース矯正において、1日20時間以上の装着が必須であり、これに満たない場合は十分な矯正力がかかりません。
固定式のワイヤー矯正は24時間常に力がかかり続けますが、着脱式のマウスピース矯正は、外している間に歯が元の位置に戻ろうとします(後戻り)。
- 20時間装着の場合:20時間進んで、4時間戻る = 実質16時間分の前進
- 15時間装着の場合:15時間進んで、9時間戻る =実質6時間分しか進まない
このように、装着時間がたった5時間減るだけで、歯が前に進むスピードは半分以下になってしまいます。
「食事の後、外したまま寝てしまった」といった状態が続くと、治療はなかなか進みません。
食事と歯磨きの時間以外は、常につけておく意識を持ちましょう。
②マウスピースがしっかりはまっていない(浮いている)
マウスピースをただ歯に被せるだけでは、適切な力がかかりません。
指で押し込んだ後に、「チューイー」と呼ばれるシリコン製のアイテムをしっかり噛んで、歯とマウスピースを隙間なく密着させることが重要です。

もしマウスピースが浮いたまま過ごしてしまうと、設計された通りに歯が押されず、予定とは違う方向に力がかかってしまうこともあります。
装着するたびにチューイーをしっかり噛み込み、完全にフィットさせる習慣をつけましょう。
詳しくは「マウスピース矯正に欠かせないチューイーとは?」をご覧ください。
③決められた交換スケジュールを守っていない
マウスピースは、通常1〜2週間ごとに新しいものへ交換しながら少しずつ歯を動かします。矯正のスケジュールは、歯の根っこや周りの骨に負担をかけないよう精密に計算されています。
「早く終わらせたいから」と自己判断で早めに交換したり、「痛いから」と古いものを長く使いすぎたりするのはNGです。
無理な力がかかって歯の根っこにダメージを与え、逆に歯が動かなくなる原因になります。必ず歯科医師の指示通りのペースを守ってくださいね。
【Oh my teethなら、スケジュール管理もかんたん!】

「いつ次のマウスピースに変えるんだっけ…?」と忘れてしまいそうな方でも大丈夫。
Oh my teethなら、LINEで現在の「Step(マウスピースの番号)」や交換のタイミングがカレンダーでパッと確認できます。毎日の装着時間も色分けされて記録できるので、ゲーム感覚で続けられますよ。
④適応外の歯並びを無理に治療している
マウスピース矯正はどんな歯並びでも治せるわけではなく、得意・不得意な歯の動きがあります。
たとえば、歯を前後に大きく平行移動させるような重度の出っ歯や、骨格に問題があるケースは、マウスピース単独では対応が難しい場合があります。
ご自身の歯並びが適応外であるにもかかわらず無理に治療を進めると、いくらルールを守っても理想の仕上がりにはなりません。
まずは、自分の歯並びが治せるかどうか、事前の精密な診断を受けることが成功への第一歩です。
⑤保定期間を無視して後戻りする

動かした直後の歯は、周囲の骨がまだ固まっておらず不安定な状態です。
治療が終わったあとに、「リテーナー(保定装置)」という後戻り防止用の装置をつけるのをサボってしまうと、元の歯並びに戻ってしまいます。
せっかく手に入れたきれいな歯並びをキープするために、最後の「保定」まで気を抜かずにやり遂げましょう。
詳しくは「マウスピース矯正の「リテーナー(保定装置)」とは?」をご覧ください。
装着時間を守れるか不安?Oh my teethなら「続く」仕組みがある

「毎日自分で管理して続けられるか不安…」という方も多いのではないでしょうか。
Oh my teethなら、自然と習慣化できる「続く仕組み」が整っています。
- 専属医療チームがLINEを通じて毎日伴走。矯正中の疑問もすぐに質問できる。
- スマホでいつでも自分の歯並びの変化を確認できるため、モチベーション維持につながる。
- 最低1回の来院で済むため、仕事やプライベートで忙しい方でも通院の負担なく続けられる。
こうした徹底したサポート体制により、Oh my teethの継続率は97%を誇ります※。
Oh my teethで効果が出る人の条件や、通院不要でもしっかりと歯が動く「経過管理」の仕組みについては、以下の記事で解説しています。ぜひ参考にしてみてください!
▼詳細はこちら
【経過写真あり】Oh my teethの効果は本当?
【経過写真あり】Oh my teethの効果は本当?
※2022年1月〜10月にOh my teethで矯正を開始したユーザーを対象とした実績値
マウスピース矯正は正しく使えば効果あり!まずは診断へ

マウスピース矯正は、透明で目立たずに歯並び改善が期待できるれっきとした矯正治療です。
ただし、期待した効果を引き出すためには、「自己管理」が最も重要になります。
本記事でお伝えした重要なポイントを、3つのステップでもう一度おさらいしましょう。
- Step1:効果は「装着時間」で決まる
- Step2:半年あれば変化は実感できる
- Step3:継続の不安は「Oh my teeth」で解消
「私の歯並びはマウスピース矯正で本当にきれいになるの?」と疑問に思った方は、まずは歯科医師による精密な診断を受けることが成功への第一歩です。

Oh my teethは、検索トレンドNo.1のマウスピース矯正ブランドです※。
「もっと早く始めればよかった!」という方も多いので、ぜひ理想の笑顔への第一歩を、Oh my teethで踏み出してみてください。
※ Google キーワードプランナーにおける2023年11月〜2024年10月のデータをもとに国内主要マウスピース矯正ブランド10社の月間指名検索ボリュームをもとに自社調査。




