マウスピース矯正
最終更新日:2025年10月16日
ホワイトライン矯正の口コミ・対応症例・他ブランドとの違いを徹底解説!

「ホワイトライン矯正って実際どうなの?」「他のマウスピース矯正と何が違うの?」
そんな疑問を持つ方も多いのではないでしょうか。
ホワイトライン矯正は、手頃な価格で前歯の部分矯正ができるマウスピース矯正ブランドとして注目を集めています。
しかし、SNS上ではさまざまな口コミがあり、「効果や仕上がりが気になる」「他ブランドとの違いを知りたい」と感じる方も少なくありません。
本記事では、ホワイトライン矯正の口コミ・対応症例・治療の特徴をわかりやすく紹介し、キレイラインやインビザラインなど他ブランドとの違いも解説します。
ホワイトライン矯正を検討している方は、ぜひ参考にしてください。

歯科矯正ブログ編集チーム
木村真由美
Oh my teethでのマウスピース矯正を経て、2021年6月に株式会社Oh my teethにジョイン。マウスピース矯正経験者としてOh my teethのオウンドメディア「歯科矯正ブログ」にて記事を更新中。ミッションは「歯並びに悩むすべての方に歯科矯正の確かな情報をお届けすること」。
目次
- ホワイトライン矯正とは?
- 国内生産のマウスピース
- 比較的安い治療費
- 対応できるのは前歯12本のみ
- ホワイトラインの良い口コミ・気になる口コミ
- ホワイトラインの良い口コミ
- ホワイトラインの気になる口コミ
- 【ホワイトライン矯正の口コミや特徴から分析】メリット・デメリット
- メリット
- デメリット
- ホワイトライン矯正で対応できる歯並び
- 対応が可能な症例
- 対応が難しい症例
- ホワイトライン矯正の症例
- 4回コースの症例
- 7回コースの症例
- ホワイトライン矯正の費用
- 治療コースは4種類
- 各治療コースの詳細
- 追加で必要な費用
- ホワイトライン矯正とほかのブランドとの違い
- キレイラインやインビザラインとの比較
- ホワイトラインの矯正治療の流れ
- ①予約
- ②治療検査・計画
- ③治療開始
- ④保定期間
- 【まとめ】ホワイトラインがおすすめの人
- できるだけ安く前歯の歯並びを治したい人
- 矯正を早く終わらせたい人
- まずはマウスピース矯正をお試ししたい人
- ホワイトライン矯正は気軽に試せるマウスピース矯正
- ※本記事掲載内容について
マウスピース矯正Oh my teeth 導入クリニックでは、無料で歯並び相談ができます。さらに、矯正プランの適合診断、および必要な各種検査も無料。他クリニックと比較検討中の方も歓迎いたします。まずはお気軽にご予約くださいね。
ホワイトライン矯正とは?

ホワイトライン矯正とは、コレクトライン矯正がリニューアルしたマウスピース矯正です。2022年7月1日にコレクトライン矯正からホワイトライン矯正に名前を変え、サービスを開始しました。
ホワイトライン矯正はクリニック通院型のマウスピース矯正で、約50の歯科クリニックで提供を開始しています。
国内生産のマウスピース
ホワイトライン矯正はホワイトラインテクノロジー株式会社が運営するマウスピース矯正ブランド。
ほかのマウスピース矯正ブランドにはインビザラインやコレクトラインなどがありますが、それらはすべて海外製(アメリカやスイスなど)です。
海外で作られるマウスピース矯正ブランドと異なり、ホワイトライン矯正は日本で生産・管理されているマウスピースを使うことができます。
比較的安い治療費
ホワイトライン矯正は、治療費の相場が176,400円~462,000円。通常のワイヤー矯正(全体矯正)の半額以下で治療を受けられる点がメリットです。費用や治療プランについては後ほどご紹介します。
対応できるのは前歯12本のみ
ホワイトライン矯正で対応できる歯は、上下の前歯12本のみです。奥歯の矯正が必要な中程度~重度の歯並びの乱れには対応できません。
前歯12本のみに対応しているため、「治療期間は平均で3~9ヶ月」、「治療回数は平均で4~10回」と比較的短期間で矯正が終わります。
ホワイトライン矯正にはお試しができる初回1回プランがあり、「マウスピース矯正がどんなものかちょっと試してみたい」人や「マウスピース矯正を体験してみたいけどいきなり治療を始めるのはハードルが高い」と感じている人でも気軽にチャレンジ可能です。
安いマウスピース矯正については、下記の記事を参考にしてください。
あわせて読みたい

【2025年】マウスピース矯正が安いのはどこ?おすすめのブランド13選│安さの理由や注意点を解説
ホワイトラインの良い口コミ・気になる口コミ

ここからは、SNS上のホワイトライン矯正の口コミを紹介します。
ホワイトラインの良い口コミ
ホワイトラインの良い口コミ
ホワイトライン矯正はほかのマウスピース矯正ブランドと同様に、マウスピースを自分で装着して歯並びを整えていきます。矯正期間中はクリニックに定期的に通院し、新しいマウスピースに交換していきます。
新しいマウスピースに交換するときには痛みを感じることもありますが、「歯が動いている感じがしてうれしい」との口コミも見られました。
ホワイトラインの気になる口コミ
ホワイトラインの気になる口コミ
この口コミは、ホワイトラインを始めたときの感想です。マウスピースを入れた直後の痛みと、装置の着脱が面倒に感じているようです。
ただし、痛みの感じ方には個人差があるため、一つの意見として頭に入れておきましょう。
【ホワイトライン矯正の口コミや特徴から分析】メリット・デメリット

ホワイトライン矯正に限らず、矯正治療は比較的高額な治療費、長い治療期間が必要です。だからこそ、治療のメリットとデメリットを事前に知っておくことで、納得して治療を受けられるようになります。
メリット
メリット
- 歯列矯正をしていることを、周りにバレにくい
- 初回1回プランがあるため、気軽にマウスピース矯正を試せる
- 日本人が開発した日本製のマウスピース矯正のため、安心感がある
- 3Dシミュレーションソフトや3Dプリンターなどに基づいた精度の高い治療
デメリット
デメリット
- 奥歯の移動をともなう全体矯正には対応していない
- クリニックがあるのが東京中心で地方にはまだ少ない
特に大切なのはデメリットを理解することです。デメリットを理解しておけば、「こんなんだったらやめておけばよかった」「想像と違った」など、途中で治療をあきらめる可能性を減らせます。
ホワイトライン矯正を検討している人は、メリットとデメリットを把握した上でドクターとよく話し合って、治療を受けるかどうかを決めるとよいでしょう。
ホワイトライン矯正で対応できる歯並び

ホワイトライン矯正は、以下の歯並びの乱れに適用できます。動かせる歯は上下の前歯12本のみ(上下の中切歯・側切歯・犬歯)です。
奥歯を動かす必要がある全体矯正には対応できません。
対応が可能な症例
対応が可能な症例
- 叢生(デコボコ歯、ガタガタ歯、乱ぐい歯)
- 空隙歯列(すきっ歯)
- 軽度の上顎前突(出っ歯)
- 過蓋咬合(上の前歯が下の前歯に深く覆いかぶさっている歯並び)
- 交叉咬合(歯列のどこか一部で上の奥歯が下の奥歯の内側に入っている歯並び)
- 後戻りを治す矯正
ホワイトライン矯正は、上下前歯6本の部分矯正のみに対応しています。全体矯正には対応できません。
対応が難しい症例
ホワイトライン矯正は部分矯正のみに対応しているため、以下のような症例は対応が難しいです。
対応が難しい症例
- 開咬(歯を噛んだ時に上下の前歯の間に隙間ができてしまう歯並び)
- 反対咬合(受け口)
- あごの骨格異常によって引き起こされる歯並びの乱れ(骨格性の不正咬合)
歯並びの状態によっては抜歯が必要になることがあります。また、マウスピース矯正のみでは時間がかかってしまう場合、ワイヤー矯正との掛け合わせにも対応しています。
ただし、あごの骨格が原因の歯並びの乱れは、歯科矯正のみでは対応が難しく、口腔外科や形成外科での外科的矯正が必要です。
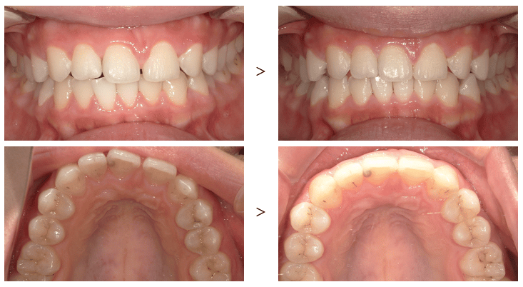
ホワイトライン矯正の症例
ホワイトライン矯正の各コースごとの症例を、公式サイトより引用して紹介します。※治療プラン・金額は、旧コレクトライン矯正のものです。
4回コースの症例

- 治療期間:5ヶ月
- 治療費:143,000円
- 治療プラン:4回コース
7回コースの症例

- 治療期間:9ヶ月
- 治療費:354,200円
- 治療プラン:7回コース+IPR

上記症例に関して詳しくはホワイトライン矯正公式サイトをご覧ください。
ホワイトライン矯正の費用

ホワイトライン矯正は4つの治療コースがあり、それぞれ費用が異なります。デンタルローンを利用すると月々3,000円~の分割払いで矯正が可能。
治療コースは4種類
歯並びの状態や予算に合わせ、4種類から自分の受けたいコースを選択できます。コースを選択するときには、ドクターとしっかり話し合うことがおすすめです。
- 1回お試し
- 4回コース
- 7回コース
- 10回コース
各治療コースの詳細
ホワイトライン矯正の各治療コースにかかる費用と期間の目安を紹介します。
1回お試し
- 費用:22,000円
マウスピース1回分のお試し矯正です。「本格的に矯正治療を始めるかどうかを決めていない人」や「ちょっとだけお試しで矯正がどんな感じなのかを試したい人」に適しています。
4回コース
- 費用:176,000円
- 期間:約3ヶ月
マウスピース5回分の矯正です。
7回コース
- 費用:319,000円
- 期間:約4.5~6ヶ月
マウスピース7回分の矯正です。
10回コース
- 費用:462,000円
- 期間:約6~8ヶ月
マウスピース10回分の矯正です。
追加で必要な費用
ホワイトライン矯正ではコースごとに提示されている料金(治療費)以外に、初診料や再診料(※)、リテーナー料などの追加費用が発生します。
治療を受けるかどうかを検討している人や支払いの際には、追加費用がかかることを忘れないようにしましょう。
- 初診料:3,500円前後(※)
- 再診料:3,000円前後(※)
- マウスピースリテーナー(片顎:11,000円、両顎:22,000円)
- ホワイトリテーナー(片顎:16,500円、両顎:33,000円)
(※)治療を受けるクリニックによって必要な費用が異なります。
マウスピースリテーナーは外出用の柔らかく目立ちにくい装置で、ホワイトリテーナーはご自宅や夜間用の咬合圧下を防ぐ保定装置になります。
ホワイトライン矯正とほかのブランドとの違い

ホワイトライン矯正はほかのマウスピース矯正ブランドと比較すると安いのか?早く矯正が終わるのか? 気になる方が多いでしょう。
以下は一般的なマウスピース矯正にかかる費用と期間の目安です。
全体矯正 | 部分矯正 | |
|---|---|---|
値段 | 60万〜100万円 | 10万〜60万円 |
期間 | 1〜3年 | 2ヶ月〜1年 |
上記の表から、ホワイトライン矯正は一般的なマウスピース矯正と比較すると安めの相場価格に見えます。ただしホワイトライン矯正は部分矯正のみに対応しています。
そのため一般的なマウスピース矯正の部分矯正の費用相場(10~60万円)を見ると、同程度、あるいは安めの相場と言えるでしょう。
続いて、ほかのマウスピース矯正ブランドの費用をまとめた表は、以下の通りです。
ブランド | 矯正範囲 | 費用目安 |
|---|---|---|
インビザライン | 部分〜全体 | 部分:20万〜65万円 全体:70万〜100万円 |
クリアコレクト | 部分〜全体 | 部分:15万〜40万円 全体:50万〜70万円 |
スマイルトゥルー ※日本国内の内容 | 部分 | 25万〜65万円 |
アソアライナー | 部分 | 10万〜40万円 |
キレイライン | 部分〜全体 | 19.8万~46.2万円 |
Oh my teeth | 部分〜全体 | 部分:33万円 全体:66万円 |
hanaravi | 部分〜全体 | 33万円 49.5万円 66万円 |
Zenyum | 部分〜全体 | 部分:32.45万円 全体:57.5万円、66万円 |
hanalove | 部分〜全体 | 21.78万円〜 34.8万円〜 77万円〜 |
DPEARL | 部分〜全体 | 30.8万円 42.9万円 55.44万円 69.3万円 83.16万円 99万円 |
マウスピース矯正ローコスト | 部分〜全体 | 部分:30万〜75万円全体:45万〜115万円 |
エミニナル矯正 | 部分〜全体 | 約13万〜86万円 |
湘南マウスピース | 部分 | 片顎9.98万円 |
Beforedent | 部分 | 16.5万〜50.8万円 |
ウィ・スマイル矯正 | 部分〜全体 | 10.78万〜66万円 |
アットスマイル矯正 | 部分〜全体 | 12万〜45万円 |
ホワイトライン | 部分〜全体 | 22万〜46.2万円 |
上記のように、各種マウスピース矯正ブランドの費用は矯正範囲によっても異なります。ホワイトライン矯正とほかの矯正ブランドを検討する際は、矯正範囲も含めて比較をするのがおすすめです。
あわせて読みたい

【マウスピース矯正24種類比較】あなたにおすすめのブランドはどれ?
キレイラインやインビザラインとの比較
ホワイトライン | キレイライン | インビザライン | Oh my teeth | |
|---|---|---|---|---|
治療範囲 | 部分矯正 | 部分〜全体矯正 | 部分〜全体矯正 | 部分〜全体矯正 |
料金 | 初回お試し:22,000円 4回コース:176,000円 7回コース:319,000円 10回コース:462,000円 | 治療1回ごとの都度払い:44,000円 5回コース:198,000円 10回コース:330,000円 15回コース:462,000円 | 部分:20万〜65万円 全体:70万〜100万円 | 部分:33万円 全体:66万円 |
追加費用 | 初期費用:3,500円前後 リテーナー:11,000円〜22,000円 | 初期費用:3,500円前後 リテーナー:22,000円〜66,000円 | 初期費用:30,000〜50,000円程度 リテーナー:20,000円〜30,000円程度 | 初期費用:0円(プラン料金に含まれる) リテーナー(マウスピース型):11,000円 ※固定式は22,000円(下顎のみ対応) |
通院 | 必要 | 必要 | 必要 | 矯正開始後の定期的な通院は原則不要 |
エリア | 全国 | 全国 | 全国 | 東京(表参道・有楽町・新宿・池袋) 大阪(心斎橋・梅田) 愛知(名古屋) 福岡(博多)など |
サポート体制 | LINEによる問い合わせが可能 | LINEによる問い合わせが可能 | 導入クリニックにより異なる | 専属医療チームによる24時間LINEサポート |
修正治療や追加治療が必要な場合、ホワイトライン、キレイライン、インビザラインはクリニックによって費用が異なる場合があります。矯正治療を受ける前に、クリニックでドクターに治療内容や費用についてしっかり確認しておくことが大切です。
Oh my teethはプラン料金以外の追加費用が発生することは基本的にありません。ただしマウスピースを紛失・破損した場合は再製作のための費用が発生します。
また、マウスピースの装着時間が不足していることが原因で追加治療が発生した場合などは、追加料金が発生する場合があります。詳しくはLINEでお問い合わせください。
あわせて読みたい

キレイライン矯正の悪い口コミは本物?後悔や失敗を防ぐにはどうしたらいい?
あわせて読みたい

Oh my teethの無料診断の流れ・口コミ・評判を徹底解説
ホワイトラインの矯正治療の流れ

ホワイトライン矯正では、大きく分けて以下の4つの流れで治療が進みます。
- 予約
- 治療検査・計画
- 治療開始
- 保定期間
それぞれの手順を見ていきましょう。
①予約
治療を開始する前には、ホワイトライン矯正のLINEで相談可能です。矯正が不安な人やホワイトライン矯正について知りたい人は、LINE相談を利用してみましょう。
ただし、初診料はクリニックによって異なるため、初診料が気になる場合は事前にLINE相談で確認しておくことをおすすめします。
②治療検査・計画
初診ではドクターが口腔内検査をして、虫歯や歯周病の有無や歯並びの状態をチェック。レントゲンや3Dスキャンであごや歯並びの撮影を行い、「歯茎に埋まっている歯(埋没歯)のチェック」「あごの骨(歯槽骨)や歯根の状態」「歯の傾き度合いやあごの形」をチェックします。
初診では現在の歯並びの悩みや矯正治療に関する不安や疑問などをすべてドクターに話し、納得が行くまで相談することがおすすめです。
検査後、撮影・スキャンしたデータをもとに、専用のソフトが矯正の治療計画の立案を行います。「治療中の歯の動き方」「治療後の歯並びの状態」を実際に目で見て確認できるため、理想の歯並びにたどり着くまでの過程や仕上がりの歯並びをイメージしやすいです。
③治療開始
治療計画や仕上がりの歯並びに納得できたら、マウスピースを発注します。国内生産のため、クリニックにマウスピースが届くまでの期間は最短で2週間。
到着まで平均1ヶ月以上かかる海外製のマウスピース矯正ブランドと比べて、治療期間の短縮が可能です。
治療中はドクターの指示に従いマウスピースを自分で交換して着用し、歯並びを整えていきます。2ヶ月ごとにクリニックを受診し、歯並びの状態やトラブルがないかを歯科医師がチェックし、新しいマウスピースへ交換。
もし、計画通りに治療が進んでいない場合には治療計画の修正を行い、マウスピースを作り直すことがあります。
④保定期間
すべてのマウスピースを着用し、歯並びの仕上がりに納得できたら治療終了です。矯正治療が終了した後は保定期間に入ります。
保定期間とは、整えた歯並びを安定させ、歯の後戻りを防ぐ期間です。保定期間中はリテーナーと呼ばれる保定装置を装着します。
保定期間中は、最初の頃は1日に20時間以上リテーナーを装着する必要があります。保定が進んで歯並びが安定するに従い、だんだんリテーナーの装着時間が減り、最後は就寝時に使用します。
リテーナーについては、下記の記事を参考にしてください。
あわせて読みたい

【いつまで?】矯正後のリテーナーは一生必要?装着期間・種類・外すタイミングを解説
【まとめ】ホワイトラインがおすすめの人

今回紹介してきた内容を踏まえて、ホワイトラインがおすすめの人をまとめました。
ホワイトラインがおすすめの人
- できるだけ安く前歯の歯並びを治したい人
- 矯正を早く終わらせたい人
- まずはマウスピース矯正をお試ししたい人
できるだけ安く前歯の歯並びを治したい人
ホワイトライン矯正は毎月の調整料や保定管理料(経過観察料)などの料金がかかりません。矯正中や保定中の通院時の料金を節約できます。
治療費はお試し1回が22,000円で、10回コースでも462,000円と比較的安いです。一般的な全体矯正(ワイヤー矯正、マウスピース矯正)は100万円程度はかかるため、部分矯正で安く前歯を治したい人におすすめです。
矯正を早く終わらせたい人
ホワイトライン矯正は部分矯正のため、治療期間の目安は、4回コースは約3ヶ月、10回コースでも約6~8ヶ月で終わる傾向です。一般的な全体矯正は1~3年程度はかかるため、前歯を部分矯正で短期間で治したい人に向いています。
まずはマウスピース矯正をお試ししたい人
ホワイトライン矯正は1回お試しコースがあります。1回お試しコースなら、「マウスピース矯正に興味があるけど、マウスピースの装着が合わなかったときにどうしよう」という人も気軽に試せます。
ホワイトライン矯正は気軽に試せるマウスピース矯正
ホワイトライン矯正は上下の前歯12本のみの部分矯正に対応しています。全体矯正と比べて早く矯正治療を終えられ、リーズナブルな値段でマウスピース矯正が行える点がメリットです。
マウスピースの作製を日本で行い、日本の企業が運営しているマウスピース矯正ブランドのため、海外のマウスピース矯正ブランドが不安な人にも向いています。
マウスピース矯正 Oh my teeth 導入クリニックでは、無料で矯正プランの適合診断を行っています。

適合診断に必要な各種検査は無料。受付から完了までは最短30分。診断結果は最短即日でLINEにお届けします。
まずはあなたの現在のお悩みからお聞かせください。
あわせて読みたい

Oh my teethの無料診断の流れ・口コミ・評判を徹底解説
※本記事掲載内容について
- 本記事で記載しているサービス内容は、記事更新時点の各社公開情報に基づいたものです。詳しい情報が開示されていないものは掲載しておりません。最新の情報は必ず各社ホームページをご確認ください。
- 本記事で使用しているロゴマークに関する権利は権利者に帰属します。
- 本記事はOh my teethが各社の公開情報を元に独自の観点でまとめたもので、網羅性・正確性を完全に担保するものではありません。
- 本記事の掲載情報に問題がある場合、お手数ですが 「[email protected]」までご連絡ください。
- マウスピース矯正 Oh my teethの「通わない」「通院不要」とは、矯正開始後の定期通院原則不要を示しています。矯正プラン適合診断は歯科医師が直接診察した上で出しますのでご安心ください。矯正開始後も歯並びの状態に応じて前処置を行ったり、歯科医師が必要と判断した場合には直接口腔内の状況を診させていただきます。









